Вы используете мобильную версию

перейти на Полную версию сайта

Доступно

Массаж при вальгусной деформации стопы (Александр Иванов)

Складчина Массаж при вальгусной деформации стопы (Александр Иванов). Совместные покупки курсов, тренингов, обучения. Присоединяйтесь! Важен каждый вкладчик.

Тема найдена по тегам:
Цена:
1200 руб
Взнос:
119 руб
Организатор:
alex2506

Список участников складчины:

1. alex2506 2. Tati_ana222 3. hatulechka 4. Ferma 5. KatЯKim 6. lollipop 7. IrinaWebia 8. Баленина 9. Aleksa_80 10. irinaGGG 11. Hakima
Купить
Оцените эту складчину: /5,
  1. alex2506
    alex2506 Организатор складчин

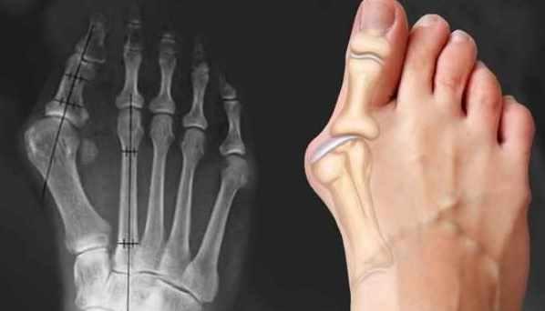
    Массаж при вальгусной деформации стопы (Александр Иванов)

    [​IMG]
    Новый онлайн-курс по массажу при проблемах связанных с искривлением большого пальца стопы, образованием "шишки", "косточки" на ноге, плоскостопии и сопутствующих патологиях

    Для кого предназначен – для опытных специалистов массажа, начинающих массажистов для расширения массажного кругозора, для любителей массажа и мануальной терапии с целью оздоровления организма в домашних условиях.
    Автор курса - профессиональный массажист, автор методики Артикуляционно-рефлекторного массажа, Александр Иванов.

    Что Вам даст онлайн-курс:
    В ходе изучения материалов курса, Вы получите важные знания и навыки, которые в дальнейшем сможете использовать в своей массажной деятельности и для применения на себе и своих близких, а именно:
    - освоить анатомию и физиологию нижней конечности, ориентироваться в строении стопы и голени;
    - понимать особенности патологии и причины её возникновения и развития;
    - ориентироваться в наиболее важных зонах воздействия при проведении манипуляций;
    - освоить технику мягкого мануального массажа с использованием остеопатического подхода;
    - проводить самокоррекцию стопы при hallux valgus и плоскостопии с помощью специальных упражнений, или рекомендовать данный метод своим клиентам либо родным и друзьям;
    - освоить методику массажа при вальгусной деформации стопы. Придерживаясь методических рекомендаций проводить массаж на массируемом безопасно и эффективно.

    Программа курса
    Урок №1. Стопа человека. Анатомические особенности и ориентиры массируемой области
    Урок №2. Кости стопы и голени. Обоснованность манипуляций с костями и суставами при hallux valgus
    Урок №3. Нервы нижней конечности. Биомеханика периферических нервов, отражение на развитии патологии
    Урок №4. Система большого пальца стопы. Вальгусная деформация, механизм развития патологии, биомеханика
    Урок №5. Методика и техника массажа при вальгусной деформации большого пальца стопы. Протокол работы
    Урок №6. Самокоррекция стопы при вальгусной деформации и плоскостопии

     
    alex2506, 2 окт 2021
    Лиса28)) нравится это.
  2. Похожие складчины
    Загрузка...
  3. Alenochkav
    Alenochkav Складчик
    Возьмитесь, пожалуйста за складчину Скрытый текст. Доступен только зарегистрированным пользователям.Нажмите, чтобы раскрыть...

    участников много, более того, многие согласны выкупить дороже, если необходимо!!! Очень нужен ответственный организатор.
     
    Alenochkav, 14 ноя 2021
  4. Дайнерис
    Дайнерис Модератор
    Здравствуйте. Пожалуйста, об оплате сообщайте в Реквизитах темы(переписка, где Вы брали номер кошелька для оплаты).
    Кнопка Реквизиты находится между названием темы и списком участников. Либо ищите переписку во Входящих сообщениях на форуме.
    Скрытый текст. Доступен только зарегистрированным пользователям.Нажмите, чтобы раскрыть...
    д) Вопросы связанные с оплатой ведутся только в реквизитах складчины.
     
    Дайнерис, 8 май 2022
Наверх